매주 목요일 : 정기휴진일
진료사례
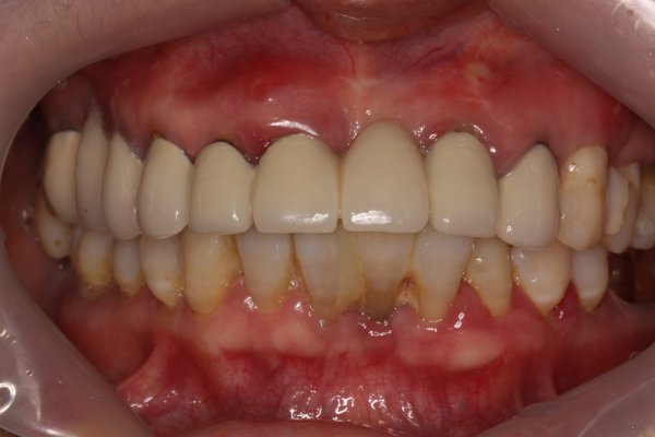
상술이 아닌 윤리로 돌보는 義士가 되겠습니다.
2~3mm정도 남은 잇몸뼈 상태에서 상악동거상술 뼈이식을 진행하여 안정적인 사이즈의 임플란트 식립에 성공